Auktion Nr. 339972

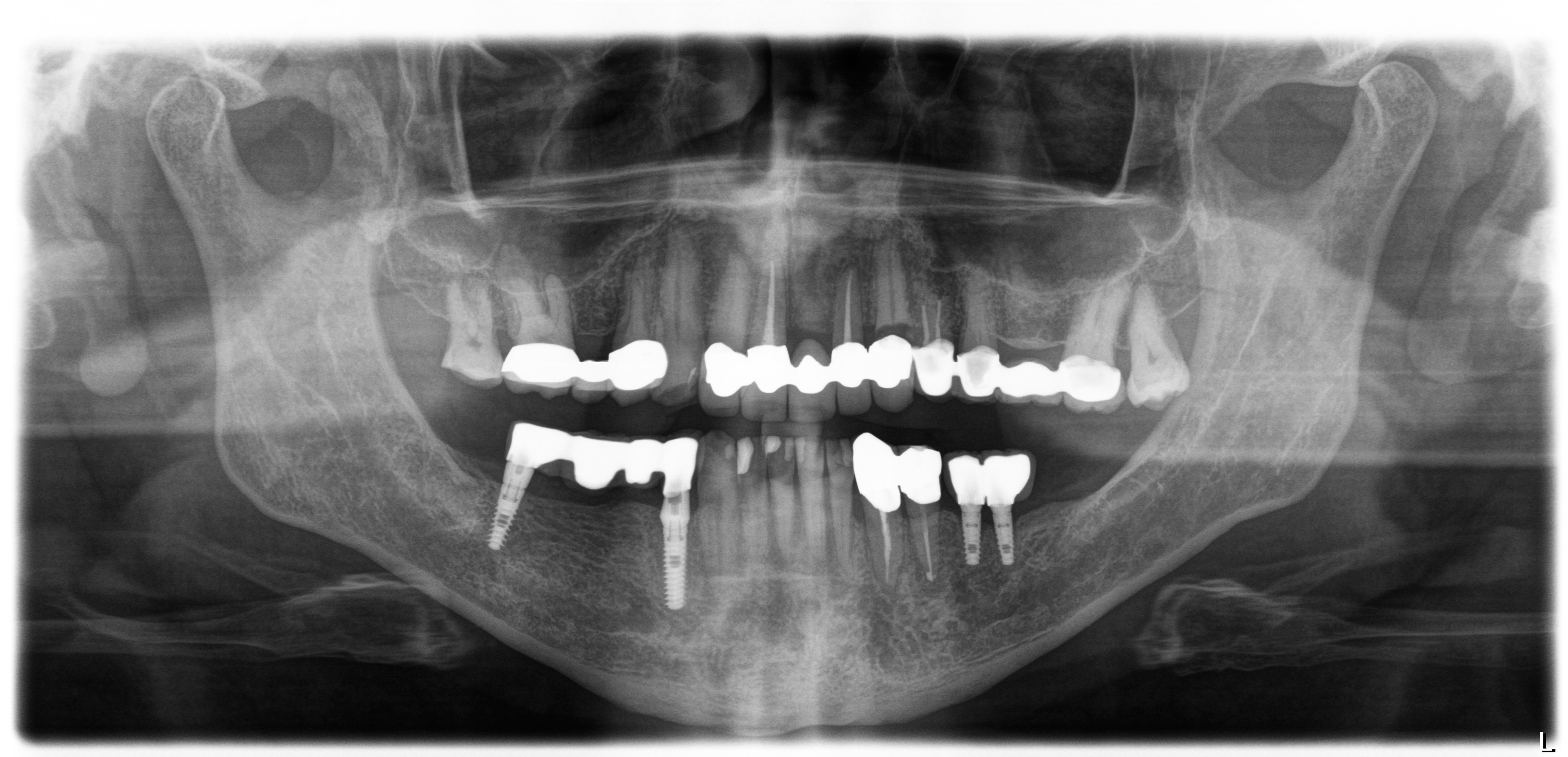
Implantat setzen und Kronenversorgungen

Privater Heil- und Kostenplan
I. Befund des gesamten Gebisses / Behandlungsplan

Oberkiefer

TP
B
B
TP
11 21
12 22
13 f SKM 23
14 24
15 25
16 26
17 27
18 28

Unterkiefer

48 38
47 37
46 36
45 35
44 34
43 33
42 KM k k KM 32
41 KM k k KM 31
TP
B
B
TP
TP
SKM
B
f
18 17 16 15 14 13 12 11
21 22 23 24 25 26 27 28
48 47 46 45 44 43 42 41
31 32 33 34 35 36 37 38
B
k k
k k
TP
KM KM
KM KM
Bemerkungen (bei Wiederherstellung Art der Leistung)
III. Höhe der Kostenplanung
Euro
Ct
Zahnärztliches Honorar:
3.434
76
geschätzte Material- und Laborkosten:
2.000
00
geschätzte Gesamtkosten
5.434
76

Aktionslaufzeit

Auktion beendet.

Ort

12359 Berlin

Versicherung

AXA Krankenversicherung AG

Besonderheiten

  • mit Freilegung
  • mit Auswechseln der Sekundärteile
  • Knochenaufbau: 1x Regio 23
  • Computertomografie

Material

FĂĽr Zahnersatz:
Vollkeramik (metallfrei)

Öffentliche Anhänge

Erklärvideo

Variable Zahnarztkosten erklärt

Video Vorschaubild

Darum variieren die Preise so stark. Zahnarzthonorar BEMA und GOZ einfach erklärt. Diesen Spielraum haben Zahnärzte und Dentallabore im privaten Gebührenbereich.

Ăśberblick

AuktionspreisĂĽbersicht mit Geboten und Ersparnissen

Zahnarzt
Auktionspreis
Zahnarzt Honorar
Material- & Laborkosten
Eigenanteil
Ersparnis
Bisheriger Zahnarzt
5.435 €
3.435 €
2.000 €
5.435 €
Zahnarzt Rosa
40 Bewertungen
zum Zahnarztprofil
3.612 €
2.312 €
1.300 €
400 € (Mat.)
900 € (Lab.)
3.612 €
1.823 € (34 %)
Zahnarzt Orange
390 Bewertungen
zum Zahnarztprofil
4.195 €
2.895 €
1.300 €
400 € (Mat.)
900 € (Lab.)
4.195 €
1.240 € (23 %)
Ausgewähltes Angebot
Zahnarzt Lila
411 Bewertungen
zum Zahnarztprofil
4.200 €
2.600 €
1.600 €
600 € (Mat.)
1.000 € (Lab.)
4.200 €
1.235 € (23 %)
Bisheriger Zahnarzt
Gesamtkosten
5.435 €
Zahnarzt Honorar
3.435 €
Material- & Laborkosten
2.000 €
Eigenanteil
5.435 €
Gewähltes Angebot
Zahnarzt Lila
411 Bewertungen
Gesamtkosten
4.200 €
Zahnarzt Honorar
2.600 €
Material- & Laborkosten
1.600 €
600 € (Mat.)
1.000 € (Lab.)
Eigenanteil
4.200 €
Ersparnis
1.235 € (23 %)
Zahnarzt Rosa
40 Bewertungen
Gesamtkosten
3.612 €
Zahnarzt Honorar
2.312 €
Material- & Laborkosten
1.300 €
400 € (Mat.)
900 € (Lab.)
Eigenanteil
3.612,00 €
Ersparnis
1.823 € (34 %)
Zahnarzt Orange
390 Bewertungen
Gesamtkosten
4.195 €
Zahnarzt Honorar
2.895 €
Material- & Laborkosten
1.300 €
400 € (Mat.)
900 € (Lab.)
Eigenanteil
4.195,00 €
Ersparnis
1.240 € (23 %)
Patientenstimmen

Echte Patienten. Echte Erfahrungen. Echte Ersparnis.

Wir haben unsere Patienten interviewt. Profitieren Sie von deren Erfahrungen.

Von der ersten Schock-Rechnung bis zur Ersparnis von mehreren tausend Euro – hier erzählen Patienten ihre ganz persönliche Geschichte.

Video Vorschaubild Patientenstimmen 2tezahnarztmeinung
Zu den Interviews in voller Länge
Kundenstimmen
So zufrieden sind die Patienten mit dem Service der 2ten-ZahnarztMeinung:
Jetzt registrieren & Kostenplan hochladen
Abstimmung des Monats
Das schönste Lächeln der Welt
Jetzt abstimmen: Verona Pooth oder Dieter Bohlen? - November 2025