Auktion Nr. 337445

Dentaprime Clinic: 2 Implantate setzen mit Brücke, Kronen und Teilkronen (Lachgas)

Gesetzlicher Heil- und Kostenplan
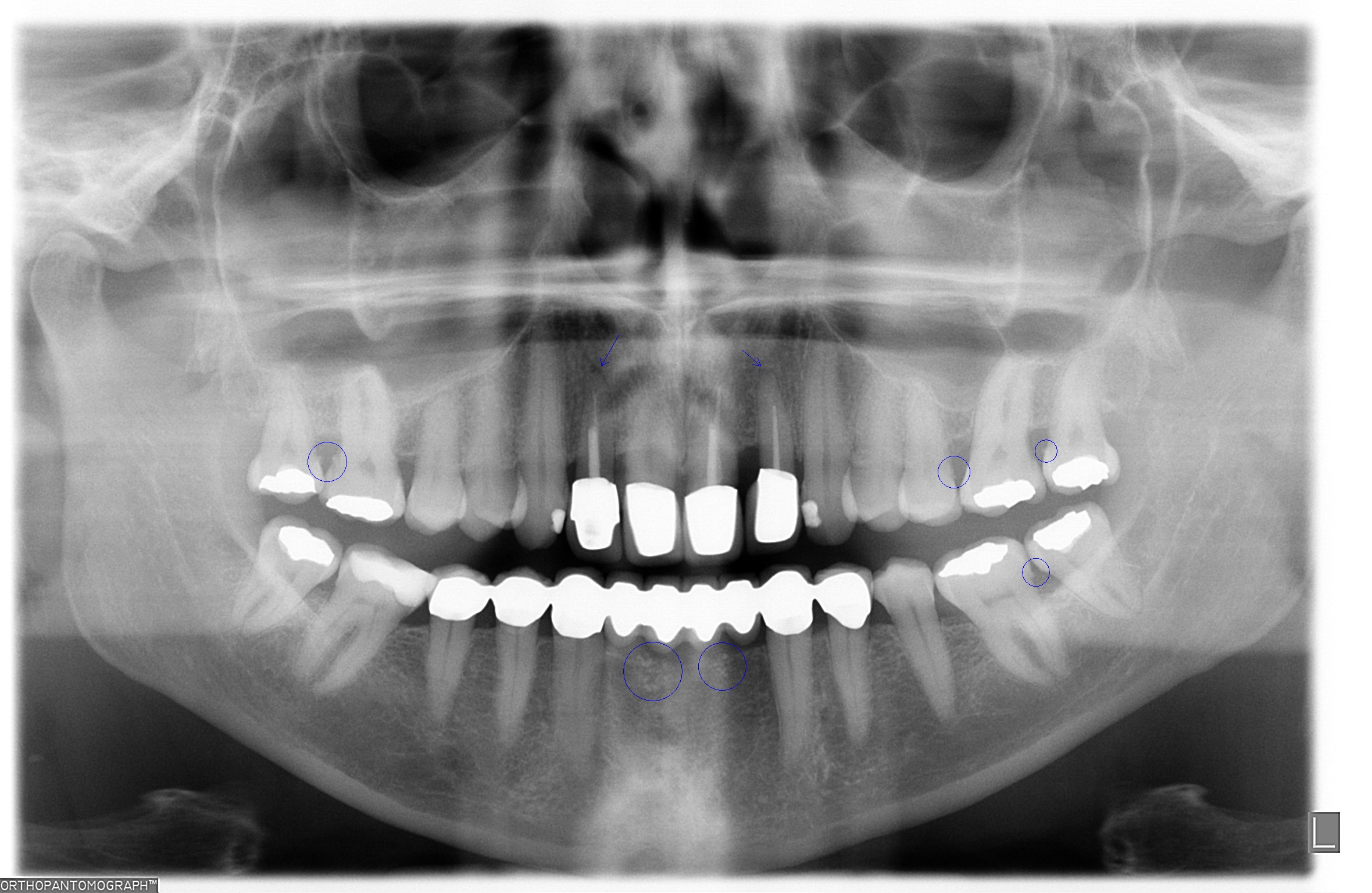
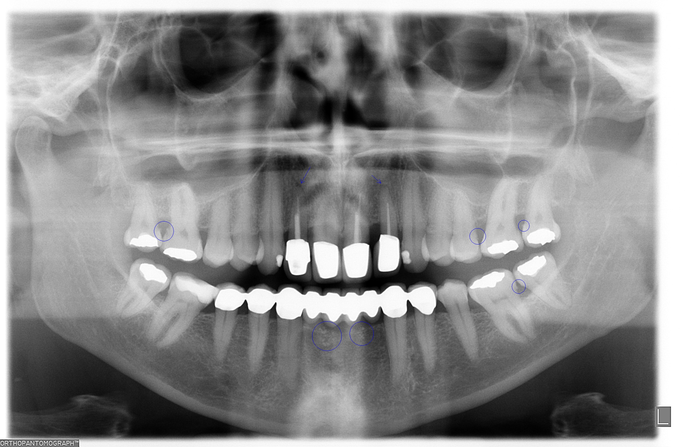
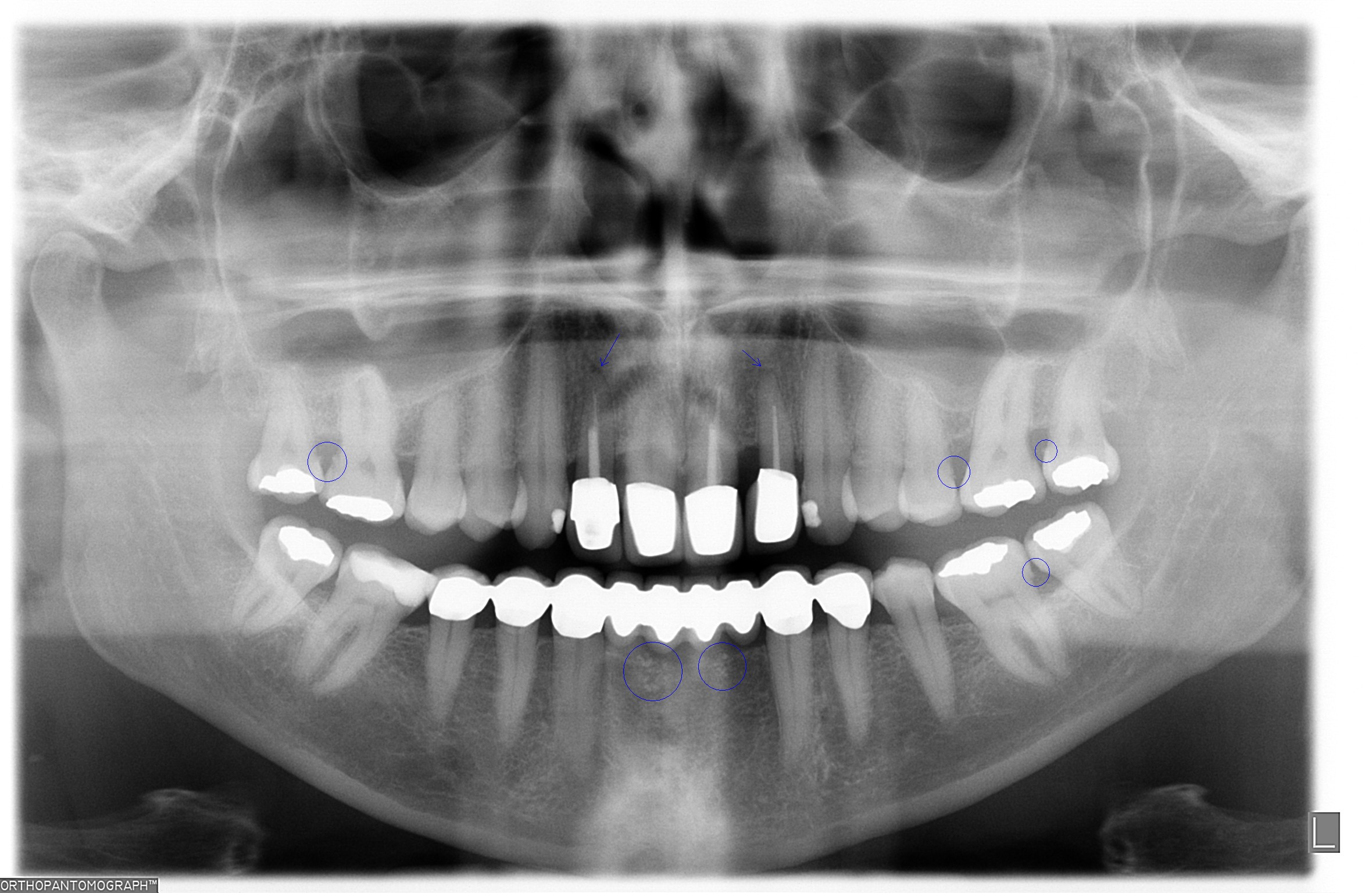
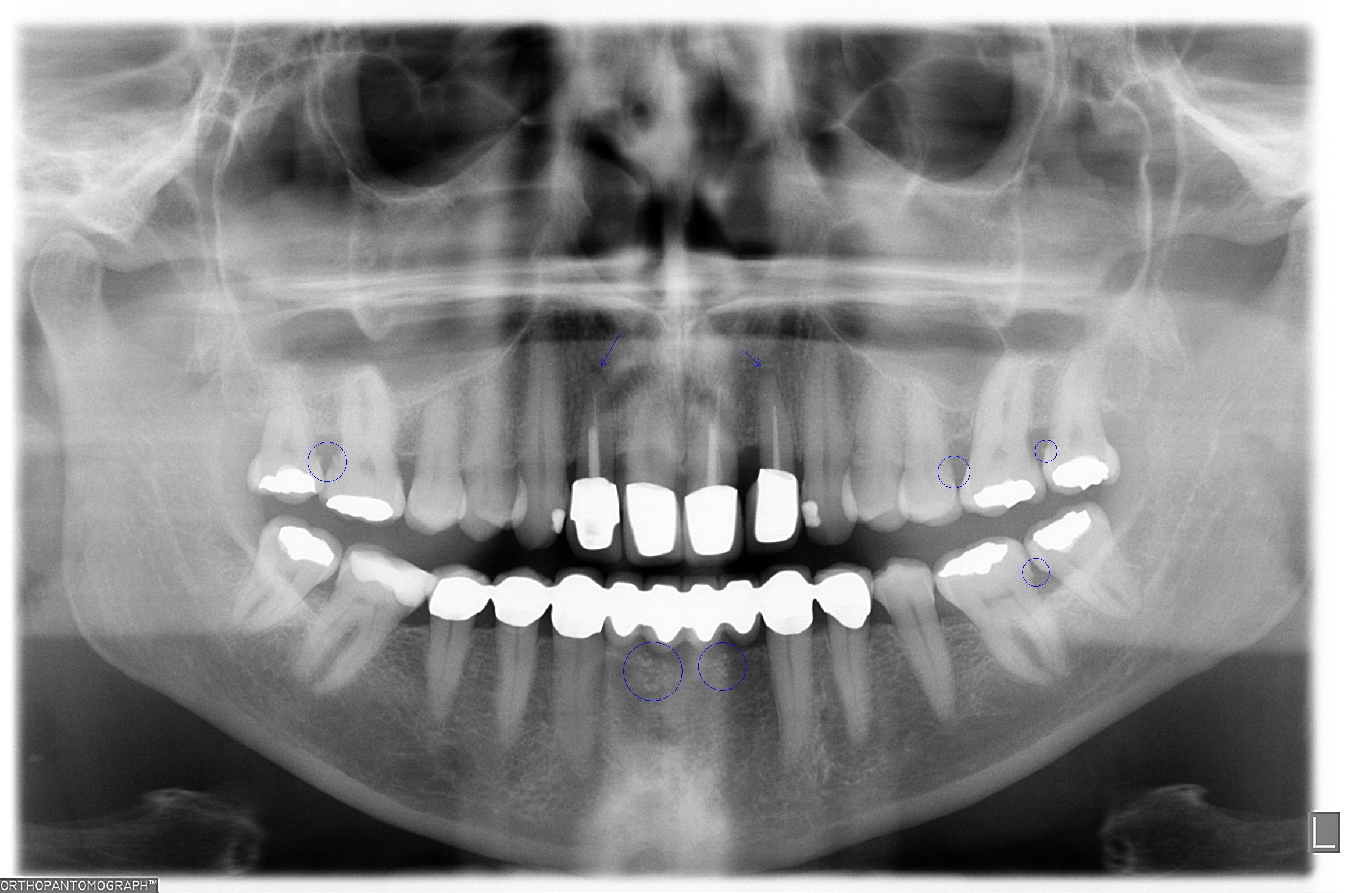
I. Befund des gesamten Gebisses / Behandlungsplan

Oberkiefer

TP
B
B
TP
11 KM kw kw KM 21
12 KM kw kw KM 22
13 PKM pw pw PKM 23
14 24
15 25
16 F2 c c F2 26
17 c F2 27
18 f f 28

Unterkiefer

48 f f 38
47 F2 c c F2 37
46 KM ww c F2 36
45 KM kw 35
44 KM kw kw KM 34
43 KM kw kw KM 33
42 SKM b b SKM 32
41 BM b b BM 31
TP
B
B
TP
TP
F2 PKM KM KM
KM KM PKM F2 F2
B
f c pw kw kw
kw kw pw c c f
18 17 16 15 14 13 12 11
21 22 23 24 25 26 27 28
48 47 46 45 44 43 42 41
31 32 33 34 35 36 37 38
B
f c ww kw kw kw b b
b b kw kw c c f
TP
F2 KM KM KM KM SKM BM
BM SKM KM KM F2 F2
Bemerkungen (bei Wiederherstellung Art der Leistung)
II. Höhe der Festzuschüsse (Bonus/Härtefall)
Befund Nr.
Zahn / Gebiet
Anz.
Euro
Ct
1.1
xxxxxxxxxxxx
8
1.630
40
1.2
xxxxxxxxxxxx
2
467
74
1.3
xxxxxxxxxxxx
6
417
18
2.4
xxxxxxxxxxxx
1
657
59
2.7
xxxxxxxxxxxx
6
411
06
1.4
xxxxxxxxxxxx
1
42
49
vorläufige Summe
3.626
46
(falls bekannt)
Festzuschuss
60 %
Härtefall
nein
III. Höhe der Kostenplanung
Euro
Ct
2 Zahnärztliches Honorar BEMA:
0
00
3 Zahnärztliches Honorar GOZ:
6.051
93
4 Material- und Laborkosten:
5.120
58
5 Behandlungskosten gesamt:
11.172
51
Abzgl. Festzuschuss
3.626
46
Eigenanteil Patient
7.546
05
Details

Informationen zur Auktion

Aktionslaufzeit

Auktion beendet.

Ort

50670 Köln

Versicherungen

Versicherung

BARMER

Partner-Zusatzversicherung
Barmenia Krankenversicherung AG

Besonderheiten

  • Sedierung: 2x Lachgas inkl.
  • mit Freilegung
  • mit Auswechseln der Sekundärteile
  • Knochenaufbau: 1x Regio 32-42
  • Funktionsanalyse
  • dent. Aufbau: 9x Zahn 12-21, 33, 34, 43-46
  • Glasfaserstift: 1x Zahn 22
  • Langzeitprovisorium: Zahne 22, 32-42
  • inkl. Knirscherschiene OK
  • 2x inkl. Professionelle Zahnreinigung
  • Wurzelrevision Zahn 22
  • PRF-Verfahren
  • Füllungstherapie Zähne: 16, 26, 27, 36, 37, 47

Zusatzinfos

Ich bin absolute Angstpatientin.

Material

Für Zahnersatz:
Zirkon (metallfrei)

Öffentliche Anhänge

Erklärvideo

Variable Zahnarztkosten erklärt

Video: Variable Zahnarztkosten erklärt - BEMA und GOZ Gebühren

Darum variieren die Preise so stark. Zahnarzthonorar BEMA und GOZ einfach erklärt. Diesen Spielraum haben Zahnärzte und Dentallabore im privaten Gebührenbereich.

Auktionspreisübersicht

Gebote und Ersparnisse im Überblick

Zahnarzt
Auktionspreis
Zahnarzt Honorar
Material- & Laborkosten
Eigenanteil
Ersparnis
Bisheriger Zahnarzt
11.173 €
6.052 €
5.121 €
7.546 €
Zahnarzt Lila
219 Bewertungen
zum Zahnarztprofil
10.545 €
6.290 €
4.255 €
1.295 € (Mat.)
2.960 € (Lab.)
6.919 €
628 € (8 %)
Zahnarzt Rosa
50 Bewertungen
zum Zahnarztprofil
10.832 €
6.462 €
4.370 €
1.330 € (Mat.)
3.040 € (Lab.)
7.206 €
341 € (5 %)
Bisheriger Zahnarzt
Gesamtkosten
11.173 €
Zahnarzt Honorar
6.052 €
Material- & Laborkosten
5.121 €
Eigenanteil
7.546 €
Zahnarzt Lila
219 Bewertungen
Gesamtkosten
10.545 €
Zahnarzt Honorar
6.290 €
Material- & Laborkosten
4.255 €
1.295 € (Mat.)
2.960 € (Lab.)
Eigenanteil
6.918,54 €
Ersparnis
628 € (8 %)
Zahnarzt Rosa
50 Bewertungen
Gesamtkosten
10.832 €
Zahnarzt Honorar
6.462 €
Material- & Laborkosten
4.370 €
1.330 € (Mat.)
3.040 € (Lab.)
Eigenanteil
7.205,54 €
Ersparnis
341 € (5 %)
Patientenstimmen

Echte Patienten. Echte Erfahrungen. Echte Ersparnis.

Wir haben unsere Patienten interviewt. Profitieren Sie von deren Erfahrungen.

Von der ersten Schock-Rechnung bis zur Ersparnis von mehreren tausend Euro – hier erzählen Patienten ihre ganz persönliche Geschichte.

Video: Echte Patientenstimmen zu 2te-ZahnarztMeinung
Zu den Interviews in voller Länge
Kundenstimmen

So zufrieden sind die Patienten mit dem Service der 2ten-ZahnarztMeinung:

Jetzt registrieren & Kostenplan hochladen