Auktion Nr. 330705

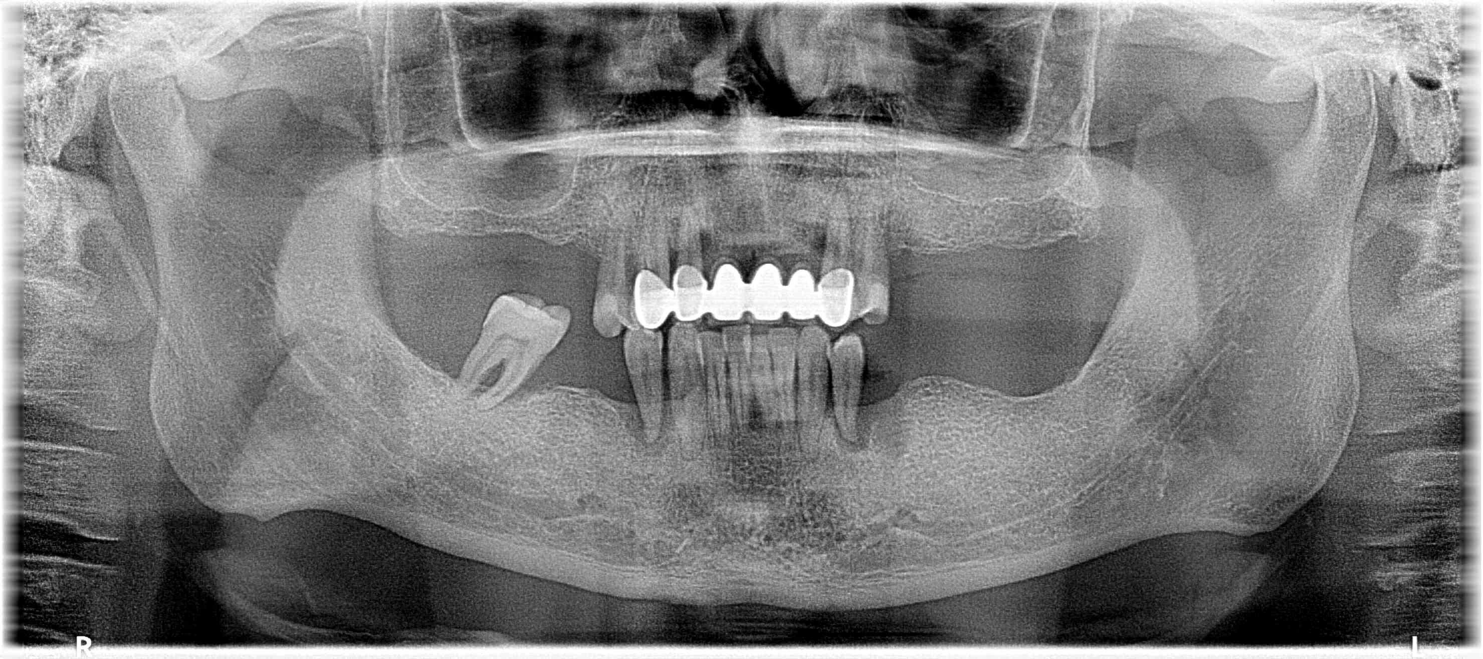
MAPA Health Care in Turkey, Istambul: 8 Implantate und ALL-on 4 im Ober- und Unterkiefer

Gesetzlicher Heil- und Kostenplan
I. Befund des gesamten Gebisses / Behandlungsplan

Oberkiefer

TP
B
B
TP
11 E b b E 21
12 SE kx b SE 22
13 E kx kx E 23
14 E x x E 24
15 SE f f SE 25
16 E f f E 26
17 E f f E 27
18 E f f E 28

Unterkiefer

48 E f f E 38
47 E x f E 37
46 E f f E 36
45 SE f f SE 35
44 E x x E 34
43 E x x E 33
42 SE x x SE 32
41 E x x E 31
TP
B
B
TP
TP
E E E SE E E SE E
E SE E E SE E E E
B
f f f f x kx kx b
b b kx x f f f f
18 17 16 15 14 13 12 11
21 22 23 24 25 26 27 28
48 47 46 45 44 43 42 41
31 32 33 34 35 36 37 38
B
f x f f x x x x
x x x x f f f f
TP
E E E SE E E SE E
E SE E E SE E E E
Bemerkungen (bei Wiederherstellung Art der Leistung)
II. Höhe der FestzuschĂŒsse (Bonus/HĂ€rtefall)
Befund Nr.
Zahn / Gebiet
Anz.
Euro
Ct
4.2
xxxxxxxxxxxx
1
473
39
4.4
xxxxxxxxxxxx
1
507
62
vorlÀufige Summe
981
01
(falls bekannt)
Festzuschuss
60 %
HĂ€rtefall
nein
III. Höhe der Kostenplanung
Euro
Ct
2 ZahnÀrztliches Honorar BEMA:
0
00
3 ZahnÀrztliches Honorar GOZ:
6.466
67
4 Material- und Laborkosten:
3.233
33
5 Behandlungskosten gesamt:
9.700
00
Abzgl. Festzuschuss
981
01
Eigenanteil Patient
8.718
99
Details

Informationen zur Auktion

Aktionslaufzeit

Auktion beendet.

Ort

45772 Marl

Versicherung

KNAPPSCHAFT

Besonderheiten

  • inklusive Interimsversorgung: OK und UK
  • alle vorhandenen ZĂ€hne mĂŒssen entfernt werden
  • HKP aus TĂŒrkei

Material

FĂŒr Zahnersatz:
Vollkeramik (metallfrei)

Öffentliche AnhĂ€nge

ErklÀrvideo

Variable Zahnarztkosten erklÀrt

Video: Variable Zahnarztkosten erklĂ€rt - BEMA und GOZ GebĂŒhren

Darum variieren die Preise so stark. Zahnarzthonorar BEMA und GOZ einfach erklĂ€rt. Diesen Spielraum haben ZahnĂ€rzte und Dentallabore im privaten GebĂŒhrenbereich.

AuktionspreisĂŒbersicht

Gebote und Ersparnisse im Überblick

Zahnarzt
Auktionspreis
Zahnarzt Honorar
Material- & Laborkosten
Eigenanteil
Ersparnis
Bisheriger Zahnarzt
9.700 €
6.467 €
3.233 €
8.719 €
Zahnarzt Pink
36 Bewertungen
zum Zahnarztprofil
11.600 €
8.500 €
3.100 €
2.000 € (Mat.)
1.100 € (Lab.)
10.619 €
keine
Zahnarzt Rosa
103 Bewertungen
zum Zahnarztprofil
12.100 €
9.000 €
3.100 €
2.000 € (Mat.)
1.100 € (Lab.)
11.119 €
keine
AusgewÀhltes Angebot
Zahnarzt Lila
130 Bewertungen
zum Zahnarztprofil
12.600 €
7.000 €
5.600 €
3.000 € (Mat.)
2.600 € (Lab.)
11.619 €
keine
Bisheriger Zahnarzt
Gesamtkosten
9.700 €
Zahnarzt Honorar
6.467 €
Material- & Laborkosten
3.233 €
Eigenanteil
8.719 €
GewÀhltes Angebot
Zahnarzt Lila
130 Bewertungen
Gesamtkosten
12.600 €
Zahnarzt Honorar
7.000 €
Material- & Laborkosten
5.600 €
3.000 € (Mat.)
2.600 € (Lab.)
Eigenanteil
11.619 €
Ersparnis
keine
Zahnarzt Pink
36 Bewertungen
Gesamtkosten
11.600 €
Zahnarzt Honorar
8.500 €
Material- & Laborkosten
3.100 €
2.000 € (Mat.)
1.100 € (Lab.)
Eigenanteil
10.618,99 €
Ersparnis
keine
Zahnarzt Rosa
103 Bewertungen
Gesamtkosten
12.100 €
Zahnarzt Honorar
9.000 €
Material- & Laborkosten
3.100 €
2.000 € (Mat.)
1.100 € (Lab.)
Eigenanteil
11.118,99 €
Ersparnis
keine
WeiterfĂŒhrende Informationen
Interessante BeitrÀge rund um das Thema Zahnauktion
Patientenstimmen

Echte Patienten. Echte Erfahrungen. Echte Ersparnis.

Wir haben unsere Patienten interviewt. Profitieren Sie von deren Erfahrungen.

Von der ersten Schock-Rechnung bis zur Ersparnis von mehreren tausend Euro – hier erzĂ€hlen Patienten ihre ganz persönliche Geschichte.

Video: Echte Patientenstimmen zu 2te-ZahnarztMeinung
Zu den Interviews in voller LĂ€nge
Kundenstimmen

So zufrieden sind die Patienten mit dem Service der 2ten-ZahnarztMeinung:

Jetzt registrieren & Kostenplan hochladen