Auktion Nr. 344476

Zahnklinik TĂŒrkei: 8 Implantate setzen mit All-on-4

Gesetzlicher Heil- und Kostenplan
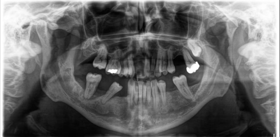
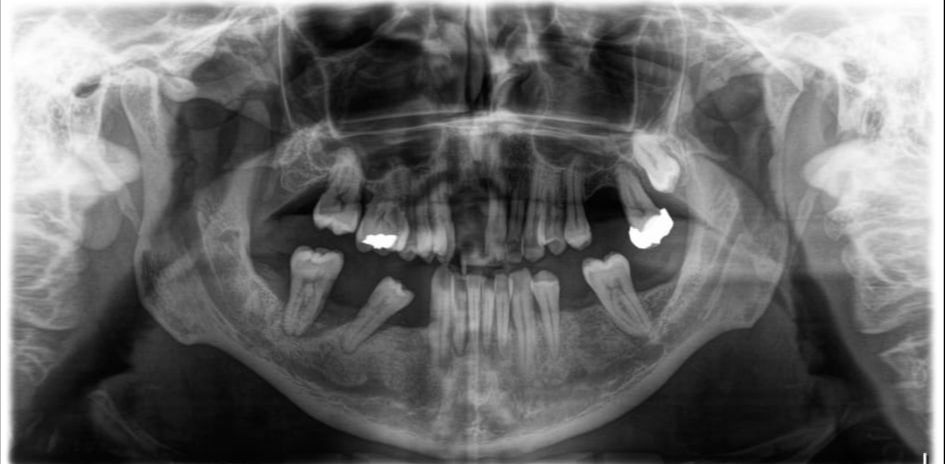
I. Befund des gesamten Gebisses / Behandlungsplan

Oberkiefer

TP
B
B
TP
11 BM f x BM 21
12 SKM f x SKM 22
13 BM f x BM 23
14 BM x x BM 24
15 SKM x x SKM 25
16 BM x f BM 26
17 x x 27
18 f f 28

Unterkiefer

48 f f 38
47 x x 37
46 BM f f BM 36
45 SKM x f SKM 35
44 BM )( x BM 34
43 BM x x BM 33
42 SKM x x SKM 32
41 BM x x BM 31
TP
B
B
TP
TP
BM SKM BM BM SKM BM
BM SKM BM BM SKM BM
B
f x x x x f f f
x x x x x f x f
18 17 16 15 14 13 12 11
21 22 23 24 25 26 27 28
48 47 46 45 44 43 42 41
31 32 33 34 35 36 37 38
B
f x f x )( x x x
x x x x f f x f
TP
BM SKM BM BM SKM BM
BM SKM BM BM SKM BM
Bemerkungen (bei Wiederherstellung Art der Leistung)
II. Höhe der FestzuschĂŒsse (Bonus/HĂ€rtefall)
Befund Nr.
Zahn / Gebiet
Anz.
Euro
Ct
4.2
xxxxxxxxxxxx
1
521
89
4.4
xxxxxxxxxxxx
1
559
64
5.4
xxxxxxxxxxxx
2
878
28
vorlÀufige Summe
1.959
81
(falls bekannt)
Festzuschuss
60 %
HĂ€rtefall
nein
III. Höhe der Kostenplanung
Euro
Ct
2 ZahnÀrztliches Honorar BEMA:
0
00
3 ZahnÀrztliches Honorar GOZ:
9.706
00
4 Material- und Laborkosten:
3.174
00
5 Behandlungskosten gesamt:
12.880
00
Abzgl. Festzuschuss
1.959
81
Eigenanteil Patient
10.920
19
Details

Informationen zur Auktion

Aktionslaufzeit

Auktion beendet.

Ort

27574 Bremerhaven

Versicherung

AOK Bremen / Bremerhaven

Besonderheiten

  • mit Freilegung
  • mit Auswechseln der SekundĂ€rteile
  • Knochenaufbau
  • externer Sinuslift: 2x Regio 15, 25
  • Computertomografie
  • inklusive Interimsversorgung: OK und UK
  • HKP Ausland

Material

FĂŒr Zahnersatz:
Zirkon (metallfrei)

Öffentliche AnhĂ€nge

ErklÀrvideo

Variable Zahnarztkosten erklÀrt

Video: Variable Zahnarztkosten erklĂ€rt - BEMA und GOZ GebĂŒhren

Darum variieren die Preise so stark. Zahnarzthonorar BEMA und GOZ einfach erklĂ€rt. Diesen Spielraum haben ZahnĂ€rzte und Dentallabore im privaten GebĂŒhrenbereich.

AuktionspreisĂŒbersicht

Gebote und Ersparnisse im Überblick

Zahnarzt
Auktionspreis
Zahnarzt Honorar
Material- & Laborkosten
Eigenanteil
Ersparnis
Bisheriger Zahnarzt
12.880 €
9.706 €
3.174 €
10.920 €
Zahnarzt Lila
432 Bewertungen
zum Zahnarztprofil
15.138 €
8.487 €
6.651 €
3.413 € (Mat.)
3.238 € (Lab.)
13.178 €
keine
Zahnarzt Rosa
482 Bewertungen
zum Zahnarztprofil
15.140 €
8.489 €
6.651 €
3.413 € (Mat.)
3.238 € (Lab.)
13.180 €
keine
Zahnarzt Pink
23 Bewertungen
zum Zahnarztprofil
15.142 €
8.491 €
6.651 €
3.413 € (Mat.)
3.238 € (Lab.)
13.182 €
keine
AusgewÀhltes Angebot
Zahnarzt Orange
53 Bewertungen
zum Zahnarztprofil
15.144 €
8.493 €
6.651 €
3.413 € (Mat.)
3.238 € (Lab.)
13.184 €
keine
Bisheriger Zahnarzt
Gesamtkosten
12.880 €
Zahnarzt Honorar
9.706 €
Material- & Laborkosten
3.174 €
Eigenanteil
10.920 €
GewÀhltes Angebot
Zahnarzt Orange
53 Bewertungen
Gesamtkosten
15.144 €
Zahnarzt Honorar
8.493 €
Material- & Laborkosten
6.651 €
3.413 € (Mat.)
3.238 € (Lab.)
Eigenanteil
13.184 €
Ersparnis
keine
Zahnarzt Lila
432 Bewertungen
Gesamtkosten
15.138 €
Zahnarzt Honorar
8.487 €
Material- & Laborkosten
6.651 €
3.413 € (Mat.)
3.238 € (Lab.)
Eigenanteil
13.178,19 €
Ersparnis
keine
Zahnarzt Rosa
482 Bewertungen
Gesamtkosten
15.140 €
Zahnarzt Honorar
8.489 €
Material- & Laborkosten
6.651 €
3.413 € (Mat.)
3.238 € (Lab.)
Eigenanteil
13.180,19 €
Ersparnis
keine
Zahnarzt Pink
23 Bewertungen
Gesamtkosten
15.142 €
Zahnarzt Honorar
8.491 €
Material- & Laborkosten
6.651 €
3.413 € (Mat.)
3.238 € (Lab.)
Eigenanteil
13.182,19 €
Ersparnis
keine
WeiterfĂŒhrende Informationen
Interessante BeitrÀge rund um das Thema Zahnauktion
Patientenstimmen

Echte Patienten. Echte Erfahrungen. Echte Ersparnis.

Wir haben unsere Patienten interviewt. Profitieren Sie von deren Erfahrungen.

Von der ersten Schock-Rechnung bis zur Ersparnis von mehreren tausend Euro – hier erzĂ€hlen Patienten ihre ganz persönliche Geschichte.

Video: Echte Patientenstimmen zu 2te-ZahnarztMeinung
Zu den Interviews in voller LĂ€nge
Kundenstimmen

So zufrieden sind die Patienten mit dem Service der 2ten-ZahnarztMeinung:

Jetzt registrieren & Kostenplan hochladen