Auktion Nr. 352568

2 Implantate setzen mit Kronen

Gesetzlicher Heil- und Kostenplan
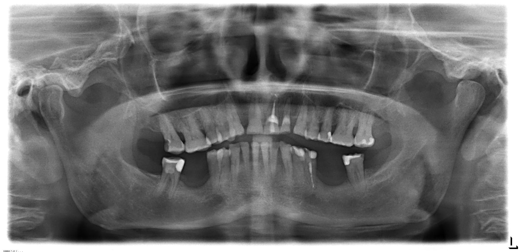
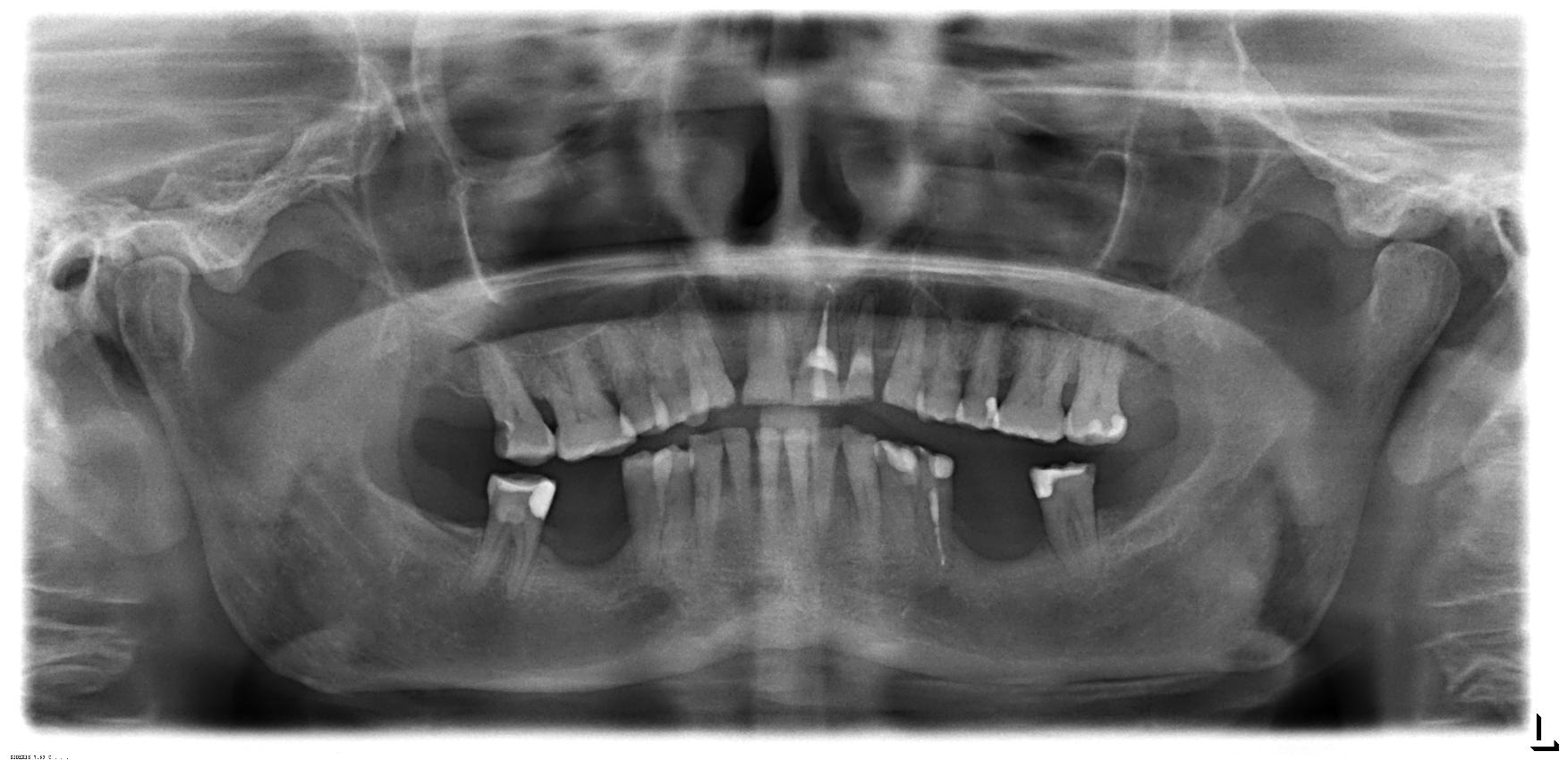
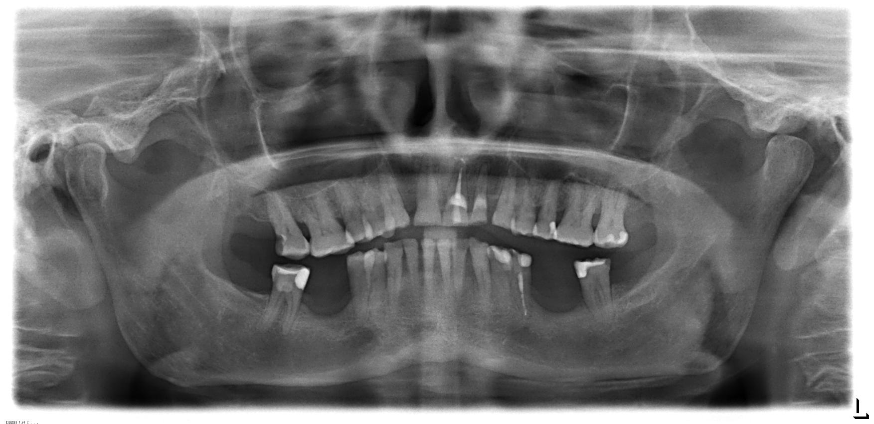
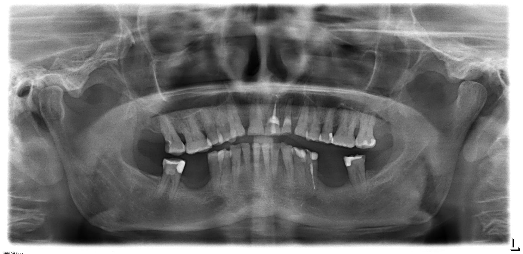
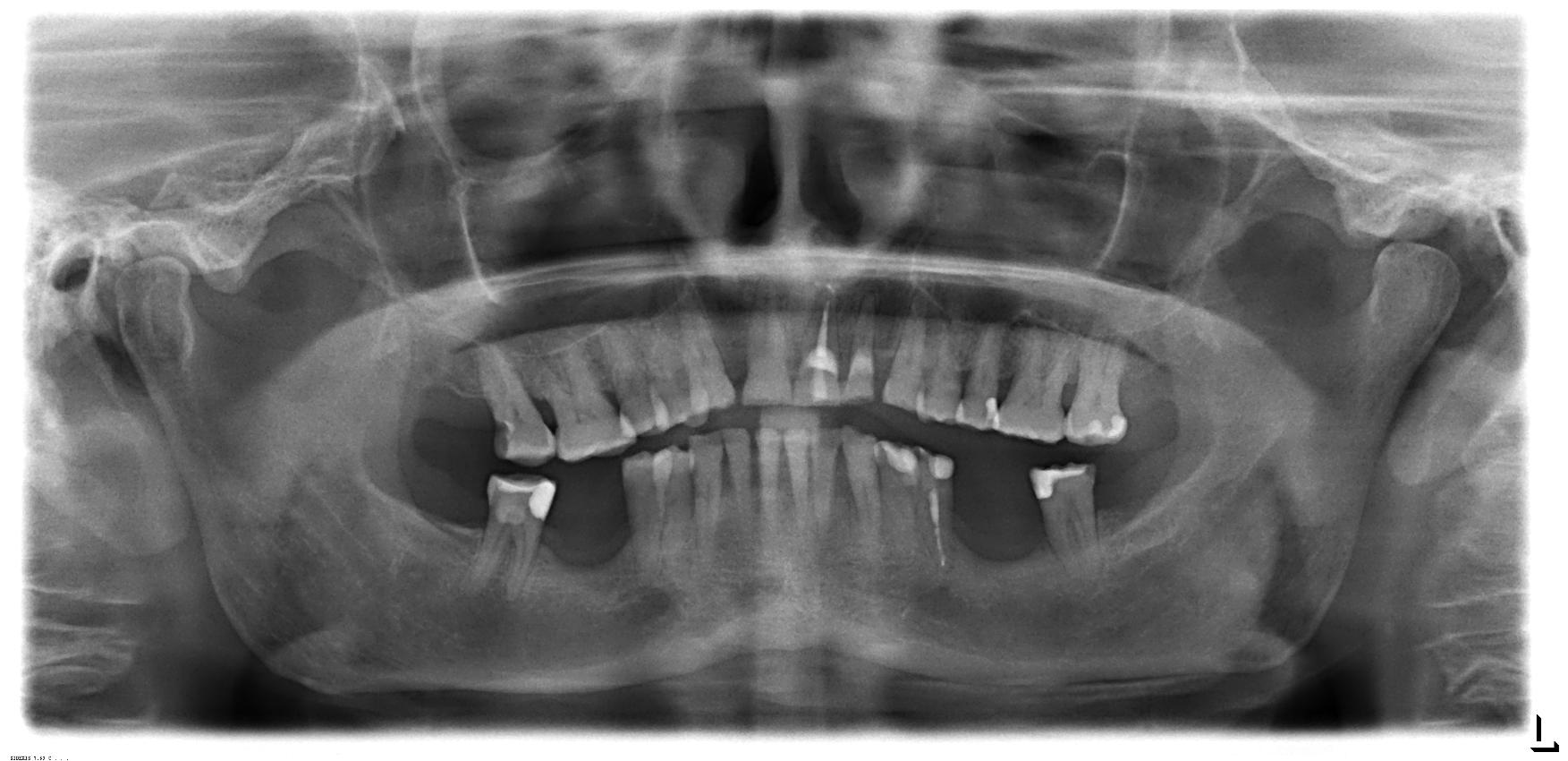
I. Befund des gesamten Gebisses / Behandlungsplan

Oberkiefer

TP
B
B
TP
11 21
12 )( 22
13 23
14 24
15 25
16 26
17 k 27
18 f f 28

Unterkiefer

48 f f 38
47 37
46 SKM f f SKM 36
45 35
44 34
43 33
42 32
41 31
TP
B
B
TP
TP
B
f k )(
f
18 17 16 15 14 13 12 11
21 22 23 24 25 26 27 28
48 47 46 45 44 43 42 41
31 32 33 34 35 36 37 38
B
f f
f f
TP
SKM
SKM
Bemerkungen (bei Wiederherstellung Art der Leistung)
II. Höhe der FestzuschĂŒsse (Bonus/HĂ€rtefall)
Befund Nr.
Zahn / Gebiet
Anz.
Euro
Ct
2.1
xxxxxxxxxxxx
2
1.059
94
vorlÀufige Summe
1.059
94
(falls bekannt)
Festzuschuss
60 %
HĂ€rtefall
nein
III. Höhe der Kostenplanung
Euro
Ct
2 ZahnÀrztliches Honorar BEMA:
0
00
3 ZahnÀrztliches Honorar GOZ:
7.702
90
4 Material- und Laborkosten:
2.249
00
5 Behandlungskosten gesamt:
9.951
90
Abzgl. Festzuschuss
1.059
94
Eigenanteil Patient
8.891
96

Aktionslaufzeit

Auktion beendet.

Ort

68167 Mannheim

Versicherungen

Versicherung

TK - Techniker Krankenkasse

Zusatzversicherung

DFV Deutsche Familienversicherung

Besonderheiten

  • mit Freilegung
  • mit Auswechseln der SekundĂ€rteile
  • Knochenaufbau: 2x keine Angabe
  • Knochenentnahme: 2x keine Angabe
  • 4050, 4055

Material

FĂŒr Zahnersatz:
Zirkon (metallfrei)

Öffentliche AnhĂ€nge

ErklÀrvideo

Variable Zahnarztkosten erklÀrt

Video Vorschaubild

Darum variieren die Preise so stark. Zahnarzthonorar BEMA und GOZ einfach erklĂ€rt. Diesen Spielraum haben ZahnĂ€rzte und Dentallabore im privaten GebĂŒhrenbereich.

Überblick

AuktionspreisĂŒbersicht mit Geboten und Ersparnissen

Zahnarzt
Auktionspreis
Zahnarzt Honorar
Material- & Laborkosten
Eigenanteil
Ersparnis
Bisheriger Zahnarzt
9.952 €
7.703 €
2.249 €
8.892 €
AusgewÀhltes Angebot
Zahnarzt Rosa
6 Bewertungen
zum Zahnarztprofil
6.550 €
4.300 €
2.250 €
1.125 € (Mat.)
1.125 € (Lab.)
5.490 €
3.402 € (38 %)
Bisheriger Zahnarzt
Gesamtkosten
9.952 €
Zahnarzt Honorar
7.703 €
Material- & Laborkosten
2.249 €
Eigenanteil
8.892 €
GewÀhltes Angebot
Zahnarzt Rosa
6 Bewertungen
Gesamtkosten
6.550 €
Zahnarzt Honorar
4.300 €
Material- & Laborkosten
2.250 €
1.125 € (Mat.)
1.125 € (Lab.)
Eigenanteil
5.490 €
Ersparnis
3.402 € (38 %)
GOZ-Positionen

Verwendete GOZ-Positionen im Preisvergleich

WeiterfĂŒhrende Informationen
Interessante BeitrÀge rund um das Thema Zahnauktion

Welcher Zahnarzt passt am besten zu Ihnen? Suchen Sie einen Familienzahnarzt oder eher einen Implantologen? Einen Zahnarzt oder eine ZahnÀrztin? Jung oder alt? Wir helfen Ihnen bei ihrer Zahnarztsuche und zeigen Ihnen, worauf Sie...

Beitrag lesen
Patientenstimmen

Echte Patienten. Echte Erfahrungen. Echte Ersparnis.

Wir haben unsere Patienten interviewt. Profitieren Sie von deren Erfahrungen.

Von der ersten Schock-Rechnung bis zur Ersparnis von mehreren tausend Euro – hier erzĂ€hlen Patienten ihre ganz persönliche Geschichte.

Video Vorschaubild Patientenstimmen 2tezahnarztmeinung
Zu den Interviews in voller LĂ€nge
Kundenstimmen
So zufrieden sind die Patienten mit dem Service der 2ten-ZahnarztMeinung:
Jetzt registrieren & Kostenplan hochladen
Abstimmung des Monats
Das schönste LÀcheln der Welt
Jetzt abstimmen: Verona Pooth oder Dieter Bohlen? - November 2025