Auktion Nr. 347030

Implantat setzen mit Krone

Gesetzlicher Heil- und Kostenplan
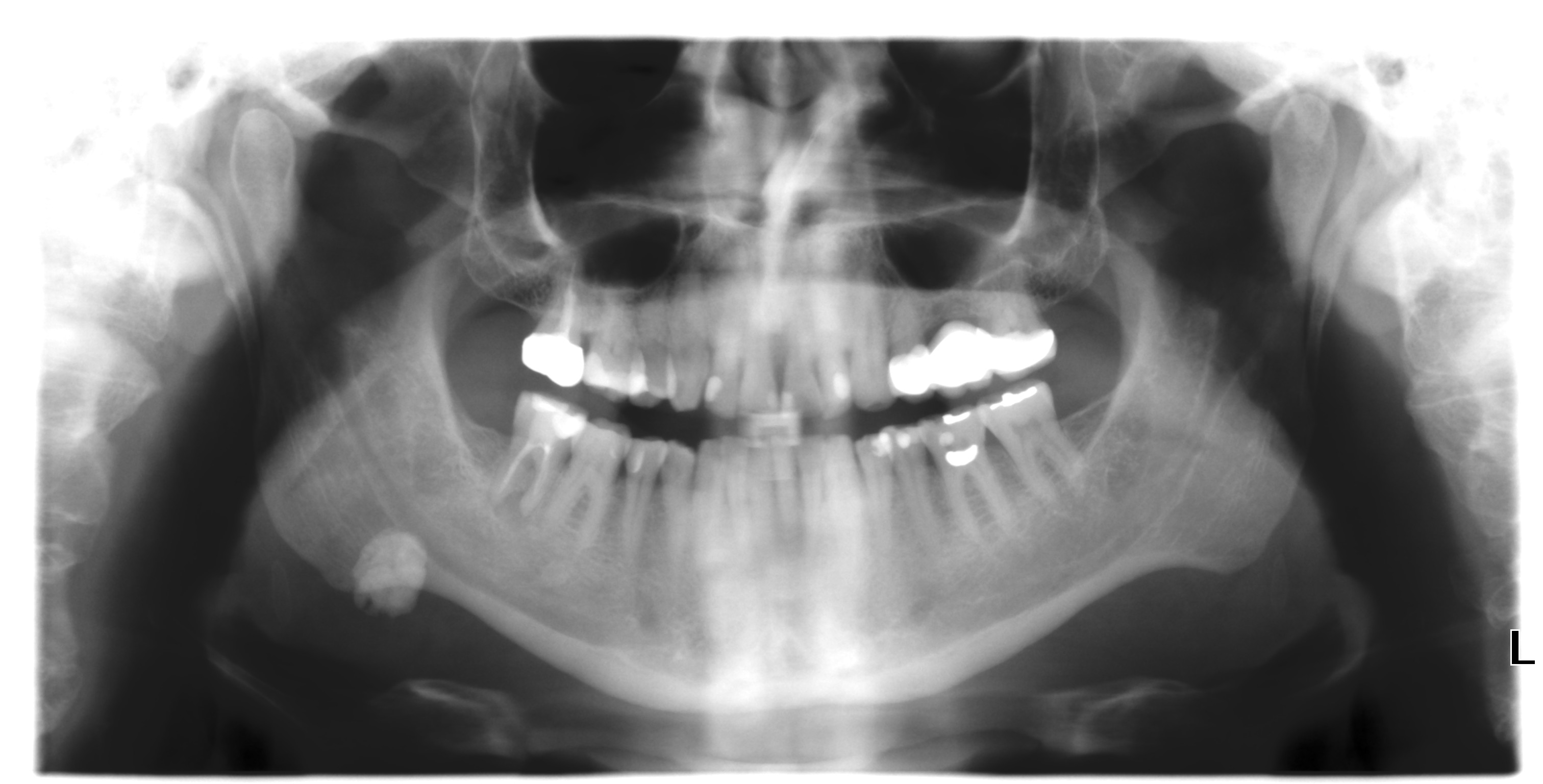
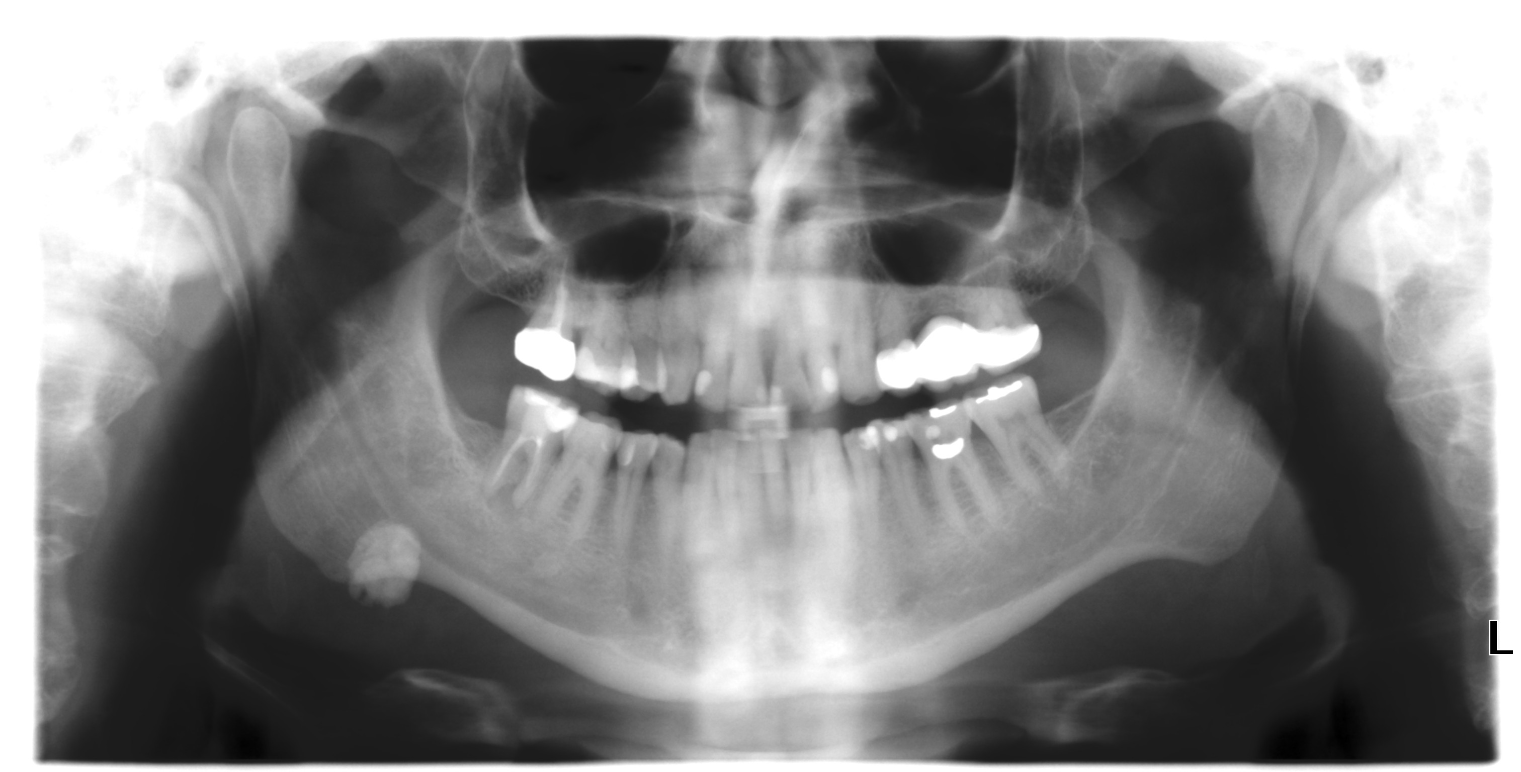
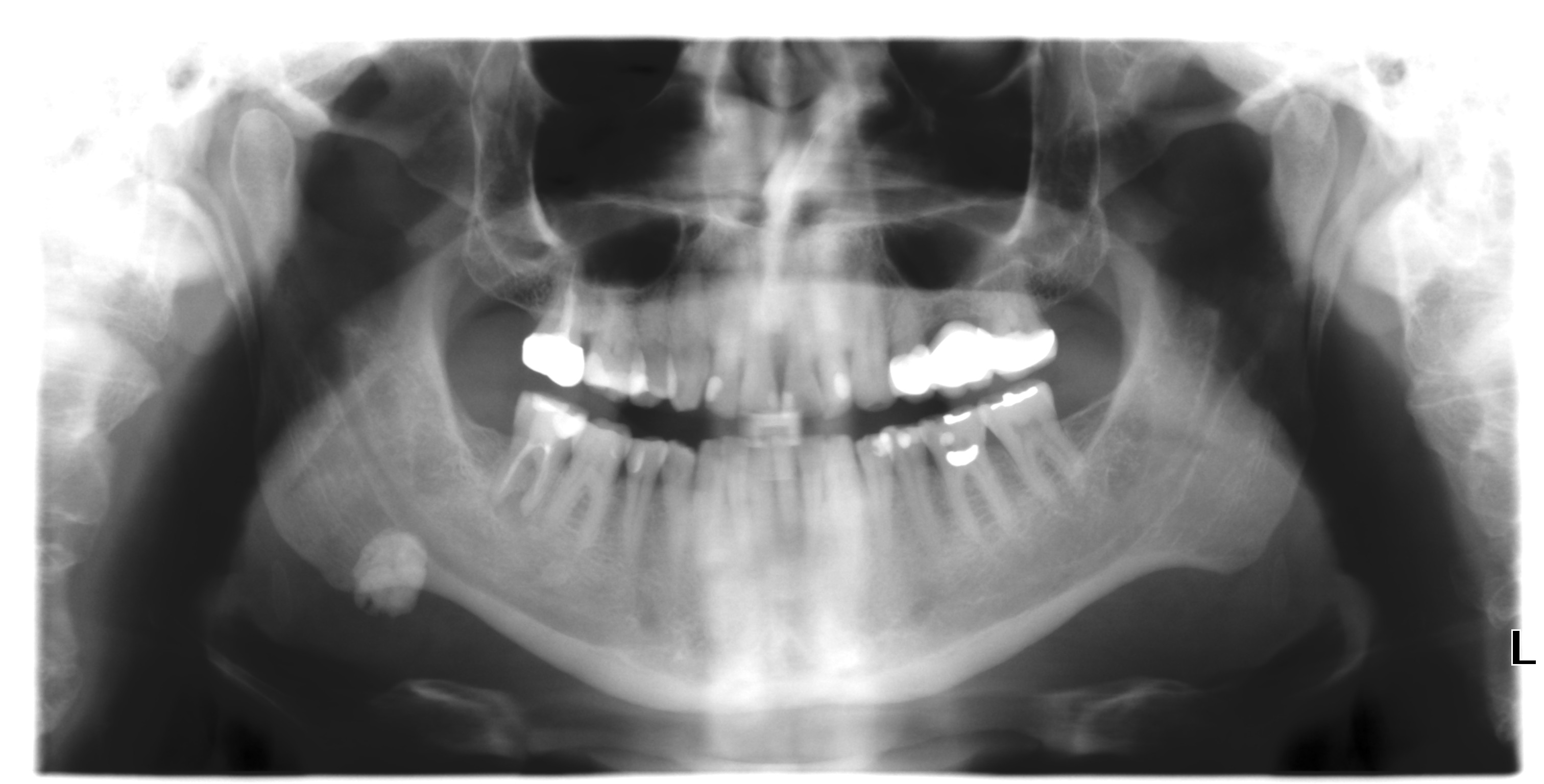
I. Befund des gesamten Gebisses / Behandlungsplan

Oberkiefer

TP
B
B
TP
11 21
12 22
13 23
14 )( k 24
15 b 25
16 b 26
17 k k 27
18 f f 28

Unterkiefer

48 f f 38
47 SKM f 37
46 36
45 35
44 34
43 33
42 32
41 31
TP
B
B
TP
TP
B
f k )(
k b b k f
18 17 16 15 14 13 12 11
21 22 23 24 25 26 27 28
48 47 46 45 44 43 42 41
31 32 33 34 35 36 37 38
B
f f
f
TP
SKM
Bemerkungen (bei Wiederherstellung Art der Leistung)
II. Höhe der FestzuschĂŒsse (Bonus/HĂ€rtefall)
Befund Nr.
Zahn / Gebiet
Anz.
Euro
Ct
3.1
xxxxxxxxxxxx
1
517
75
vorlÀufige Summe
517
75
(falls bekannt)
Festzuschuss
60 %
HĂ€rtefall
nein
III. Höhe der Kostenplanung
Euro
Ct
2 ZahnÀrztliches Honorar BEMA:
0
00
3 ZahnÀrztliches Honorar GOZ:
2.743
58
4 Material- und Laborkosten:
1.160
00
5 Behandlungskosten gesamt:
3.903
58
Abzgl. Festzuschuss
517
75
Eigenanteil Patient
3.385
83
Details

Informationen zur Auktion

Aktionslaufzeit

Auktion beendet.

Ort

69126 Heidelberg

Versicherung

hkk Krankenkasse

Besonderheiten

  • mit Freilegung
  • mit Auswechseln der SekundĂ€rteile
  • Knochenaufbau: 1x Regio 47
  • Computertomografie
  • Funktionsanalyse

Zusatzinfos

Der Zahn wurde im Mai gezogen.

Material

FĂŒr Zahnersatz:
NEM (Nicht-Edel-Metall): z. B. eine Metalllegierung, mit Keramik vollverblendet

Öffentliche AnhĂ€nge

ErklÀrvideo

Variable Zahnarztkosten erklÀrt

Video: Variable Zahnarztkosten erklĂ€rt - BEMA und GOZ GebĂŒhren

Darum variieren die Preise so stark. Zahnarzthonorar BEMA und GOZ einfach erklĂ€rt. Diesen Spielraum haben ZahnĂ€rzte und Dentallabore im privaten GebĂŒhrenbereich.

AuktionspreisĂŒbersicht

Gebote und Ersparnisse im Überblick

Zahnarzt
Auktionspreis
Zahnarzt Honorar
Material- & Laborkosten
Eigenanteil
Ersparnis
Bisheriger Zahnarzt
3.904 €
2.744 €
1.160 €
3.386 €
Zahnarzt Pink
1 Bewertung
zum Zahnarztprofil
2.932 €
2.102 €
830 €
380 € (Mat.)
450 € (Lab.)
2.414 €
972 € (29 %)
Zahnarzt Lila
16 Bewertungen
zum Zahnarztprofil
2.942 €
1.943 €
999 €
324 € (Mat.)
675 € (Lab.)
2.424 €
962 € (28 %)
Bisheriger Zahnarzt
Gesamtkosten
3.904 €
Zahnarzt Honorar
2.744 €
Material- & Laborkosten
1.160 €
Eigenanteil
3.386 €
Zahnarzt Pink
Gesamtkosten
2.932 €
Zahnarzt Honorar
2.102 €
Material- & Laborkosten
830 €
380 € (Mat.)
450 € (Lab.)
Eigenanteil
2.414,25 €
Ersparnis
972 € (29 %)
Zahnarzt Lila
16 Bewertungen
Gesamtkosten
2.942 €
Zahnarzt Honorar
1.943 €
Material- & Laborkosten
999 €
324 € (Mat.)
675 € (Lab.)
Eigenanteil
2.424,25 €
Ersparnis
962 € (28 %)
GebĂŒhrenordnung

Verwendete GOZ-Positionen im Preisvergleich

WeiterfĂŒhrende Informationen
Interessante BeitrÀge rund um das Thema Zahnauktion

FĂŒr einen WISO Beitrag hat das ZDF einen unserer AuktionszahnĂ€rzte besucht, um zu ĂŒberprĂŒfen, ob man bei Zahnersatz und Implantaten wirklich so viel Geld durch eine Zahnauktion sparen kann. Die WISO Reporterin fĂŒhrte einen...

Beitrag lesen

Welcher Zahnarzt passt am besten zu Ihnen? Suchen Sie einen Familienzahnarzt oder eher einen Implantologen? Einen Zahnarzt oder eine ZahnÀrztin? Jung oder alt? Wir helfen Ihnen bei ihrer Zahnarztsuche und zeigen Ihnen, worauf Sie...

Beitrag lesen
Patientenstimmen

Echte Patienten. Echte Erfahrungen. Echte Ersparnis.

Wir haben unsere Patienten interviewt. Profitieren Sie von deren Erfahrungen.

Von der ersten Schock-Rechnung bis zur Ersparnis von mehreren tausend Euro – hier erzĂ€hlen Patienten ihre ganz persönliche Geschichte.

Video: Echte Patientenstimmen zu 2te-ZahnarztMeinung
Zu den Interviews in voller LĂ€nge
Kundenstimmen

So zufrieden sind die Patienten mit dem Service der 2ten-ZahnarztMeinung:

Jetzt registrieren & Kostenplan hochladen